FSL course - BET#
This interactive demonstration is based on the official FSL course “Introductory FSL Practicals/ Introduction - BET”.
Brain extraction is a fundamental preprocessing step in neuroimaging analysis, particularly critical for structural image segmentation where precision matters most. While BET is straightforward to use, achieving optimal results often requires understanding how to fine-tune parameters for challenging datasets. This interactive version covers the core BET fundamentals, including parameter adjustment techniques for difficult images, and troubleshooting approaches for problematic cases. The hands-on format allows you to experiment with different settings and immediately see their effects on brain extraction quality.
Author: Monika Doerig
Date: 13 June 2025
Citation/ Resources:#
Tools included in this workflow#
FSL - Brain Extraction Tool (BET)
M. Jenkinson, C.F. Beckmann, T.E. Behrens, M.W. Woolrich, S.M. Smith. FSL. NeuroImage, 62:782-90, 2012
Smith S. M. (2002). Fast robust automated brain extraction. Human brain mapping, 17(3), 143–155. https://doi.org/10.1002/hbm.10062
Dataset#
Educational resources#
Load FSL#
import module
await module.load('fsl/6.0.7.16') # specific version
await module.list()
['fsl/6.0.7.16']
Download course material#
! wget -c -nc https://fsl.fmrib.ox.ac.uk/fslcourse/downloads/preCourse.tar.gz
! tar -xzvf preCourse.tar.gz --skip-old-files
--2025-10-30 00:58:14-- https://fsl.fmrib.ox.ac.uk/fslcourse/downloads/preCourse.tar.gz
Resolving fsl.fmrib.ox.ac.uk (fsl.fmrib.ox.ac.uk)... 129.67.248.66
Connecting to fsl.fmrib.ox.ac.uk (fsl.fmrib.ox.ac.uk)|129.67.248.66|:443... connected.
HTTP request sent, awaiting response... 200 OK
Length: 239640893 (229M) [application/x-gzip]
Saving to: ‘preCourse.tar.gz’
preCourse.tar.gz 100%[===================>] 228.54M 82.4MB/s in 2.8s
2025-10-30 00:58:17 (82.4 MB/s) - ‘preCourse.tar.gz’ saved [239640893/239640893]
fsl_course_data/intro/
fsl_course_data/intro/highres.nii.gz
fsl_course_data/intro/bighead.nii.gz
fsl_course_data/intro/filtered_func_data.nii.gz
fsl_course_data/intro/example_func.nii.gz
fsl_course_data/intro/structural.nii.gz
fsl_course_data/intro/egfmri.nii.gz
fsl_course_data/intro/example_func2highres.mat
fsl_course_data/intro/diffdata.nii.gz
fsl_course_data/intro/image0.nii.gz
fsl_course_data/intro/egepi.nii.gz
fsl_course_data/intro/standard.nii.gz
fsl_course_data/intro/LThal_mask_func.nii.gz
fsl_course_data/intro/LThal_mask_std.nii.gz
fsl_course_data/intro/cst2standard_73_46_26.nii.gz
fsl_course_data/intro/sub3m0.nii.gz
fsl_course_data/intro/bvals
fsl_course_data/intro/newfmri.nii.gz
fsl_course_data/intro/thresh_zstat1.nii.gz
fsl_course_data/intro/wrapped.nii.gz
fsl_course_data/intro/image1.nii.gz
fsl_course_data/intro/example_func2standard.mat
fsl_course_data/fmri/
fsl_course_data/fmri/ptt/
fsl_course_data/fmri/ptt/at/
fsl_course_data/fmri/ptt/at/at_left.feat/
fsl_course_data/fmri/ptt/at/at_left.feat/rendered_thresh_zstat3.nii.gz
fsl_course_data/fmri/ptt/at/at_left.feat/cluster_mask_zstat1.nii.gz
fsl_course_data/fmri/ptt/at/at_left.feat/example_func.nii.gz
fsl_course_data/fmri/ptt/at/at_left.feat/tsplot/
fsl_course_data/fmri/ptt/at/at_left.feat/tsplot/ps_tsplotc_zfstat1_ev5.txt
fsl_course_data/fmri/ptt/at/at_left.feat/tsplot/ps_tsplotc_zstat5_ev2.txt
fsl_course_data/fmri/ptt/at/at_left.feat/tsplot/ps_tsplot_zstat3_ev3p.png
fsl_course_data/fmri/ptt/at/at_left.feat/tsplot/tsplot_zstat3.png
fsl_course_data/fmri/ptt/at/at_left.feat/tsplot/ps_tsplotc_zstat1_ev2.txt
fsl_course_data/fmri/ptt/at/at_left.feat/tsplot/ps_tsplot_zstat2_ev4.png
fsl_course_data/fmri/ptt/at/at_left.feat/tsplot/ps_tsplotc_zstat5_ev4p.png
fsl_course_data/fmri/ptt/at/at_left.feat/tsplot/ps_tsplotc_zstat1_ev5.txt
fsl_course_data/fmri/ptt/at/at_left.feat/tsplot/ps_tsplot_zstat2_ev3.png
fsl_course_data/fmri/ptt/at/at_left.feat/tsplot/tsplot_zstat4.html
fsl_course_data/fmri/ptt/at/at_left.feat/tsplot/ps_tsplotc_zfstat1_ev2p.png
fsl_course_data/fmri/ptt/at/at_left.feat/tsplot/ps_tsplotc_zfstat1_ev2.txt
fsl_course_data/fmri/ptt/at/at_left.feat/tsplot/ps_tsplotc_zstat5_ev5.txt
fsl_course_data/fmri/ptt/at/at_left.feat/tsplot/ps_tsplot_zfstat1_ev3p.png
fsl_course_data/fmri/ptt/at/at_left.feat/tsplot/tsplot_zstat4.png
fsl_course_data/fmri/ptt/at/at_left.feat/tsplot/ps_tsplotc_zstat4_ev6.png
fsl_course_data/fmri/ptt/at/at_left.feat/tsplot/ps_tsplotc_zstat1_ev2p.png
fsl_course_data/fmri/ptt/at/at_left.feat/tsplot/ps_tsplotc_zstat3_ev1p.png
fsl_course_data/fmri/ptt/at/at_left.feat/tsplot/ps_tsplot_zstat5_ev6p.png
fsl_course_data/fmri/ptt/at/at_left.feat/tsplot/ps_tsplotc_zstat4_ev1.png
fsl_course_data/fmri/ptt/at/at_left.feat/tsplot/ps_tsplot_zstat1_ev1.png
fsl_course_data/fmri/ptt/at/at_left.feat/tsplot/ps_tsplot_zstat1_ev4p.png
fsl_course_data/fmri/ptt/at/at_left.feat/tsplot/tsplotc_zstat2.txt
fsl_course_data/fmri/ptt/at/at_left.feat/tsplot/ps_tsplotc_zfstat1_ev6p.png
fsl_course_data/fmri/ptt/at/at_left.feat/tsplot/ps_tsplot_zstat5_ev1.png
fsl_course_data/fmri/ptt/at/at_left.feat/tsplot/tsplotc_zstat5.txt
fsl_course_data/fmri/ptt/at/at_left.feat/tsplot/ps_tsplot_zstat5_ev6.png
fsl_course_data/fmri/ptt/at/at_left.feat/tsplot/ps_tsplot_zstat1_ev6.png
fsl_course_data/fmri/ptt/at/at_left.feat/tsplot/ps_tsplotc_zstat3_ev3.png
fsl_course_data/fmri/ptt/at/at_left.feat/tsplot/ps_tsplotc_zstat3_ev5p.png
fsl_course_data/fmri/ptt/at/at_left.feat/tsplot/tsplot_zstat3p.png
fsl_course_data/fmri/ptt/at/at_left.feat/tsplot/ps_tsplot_zstat5_ev2p.png
fsl_course_data/fmri/ptt/at/at_left.feat/tsplot/ps_tsplot_zfstat1_ev3.png
fsl_course_data/fmri/ptt/at/at_left.feat/tsplot/ps_tsplot_zstat4_ev5.txt
fsl_course_data/fmri/ptt/at/at_left.feat/tsplot/ps_tsplotc_zstat1_ev6p.png
fsl_course_data/fmri/ptt/at/at_left.feat/tsplot/ps_tsplot_zfstat1_ev4.png
fsl_course_data/fmri/ptt/at/at_left.feat/tsplot/ps_tsplot_zstat4_ev2.txt
fsl_course_data/fmri/ptt/at/at_left.feat/tsplot/ps_tsplotc_zstat3_ev4.png
fsl_course_data/fmri/ptt/at/at_left.feat/tsplot/ps_tsplotc_zstat2_ev2.png
fsl_course_data/fmri/ptt/at/at_left.feat/tsplot/ps_tsplot_zstat1_ev4.txt
fsl_course_data/fmri/ptt/at/at_left.feat/tsplot/ps_tsplot_zstat5_ev4.txt
fsl_course_data/fmri/ptt/at/at_left.feat/tsplot/ps_tsplot_zstat5_ev3.txt
fsl_course_data/fmri/ptt/at/at_left.feat/tsplot/ps_tsplotc_zstat4_ev1p.png
fsl_course_data/fmri/ptt/at/at_left.feat/tsplot/ps_tsplotc_zstat2_ev5.png
fsl_course_data/fmri/ptt/at/at_left.feat/tsplot/ps_tsplot_zstat1_ev3.txt
fsl_course_data/fmri/ptt/at/at_left.feat/tsplot/tsplotc_zstat1p.png
fsl_course_data/fmri/ptt/at/at_left.feat/tsplot/ps_tsplot_zstat2_ev6p.png
fsl_course_data/fmri/ptt/at/at_left.feat/tsplot/ps_tsplot_zstat4_ev3p.png
fsl_course_data/fmri/ptt/at/at_left.feat/tsplot/ps_tsplotc_zstat3_ev6.txt
fsl_course_data/fmri/ptt/at/at_left.feat/tsplot/ps_tsplotc_zstat2_ev4p.png
fsl_course_data/fmri/ptt/at/at_left.feat/tsplot/ps_tsplot_zfstat1_ev6.txt
fsl_course_data/fmri/ptt/at/at_left.feat/tsplot/ps_tsplot_zfstat1_ev1.txt
fsl_course_data/fmri/ptt/at/at_left.feat/tsplot/tsplot_zfstat1.html
fsl_course_data/fmri/ptt/at/at_left.feat/tsplot/ps_tsplotc_zstat3_ev1.txt
fsl_course_data/fmri/ptt/at/at_left.feat/tsplot/ps_tsplotc_zstat4_ev5p.png
fsl_course_data/fmri/ptt/at/at_left.feat/tsplot/ps_tsplot_zstat2_ev1.txt
fsl_course_data/fmri/ptt/at/at_left.feat/tsplot/ps_tsplot_zstat2_ev2p.png
fsl_course_data/fmri/ptt/at/at_left.feat/tsplot/tsplotc_zstat5p.png
fsl_course_data/fmri/ptt/at/at_left.feat/tsplot/ps_tsplot_zstat2_ev6.txt
fsl_course_data/fmri/ptt/at/at_left.feat/tsplot/tsplot_zstat1.txt
fsl_course_data/fmri/ptt/at/at_left.feat/tsplot/tsplot_index
fsl_course_data/fmri/ptt/at/at_left.feat/tsplot/ps_tsplotc_zstat4_ev3.txt
fsl_course_data/fmri/ptt/at/at_left.feat/tsplot/ps_tsplot_zstat3_ev5.png
fsl_course_data/fmri/ptt/at/at_left.feat/tsplot/ps_tsplot_zstat3_ev2.png
fsl_course_data/fmri/ptt/at/at_left.feat/tsplot/tsplot_zfstat1.png
fsl_course_data/fmri/ptt/at/at_left.feat/tsplot/ps_tsplotc_zstat4_ev4.txt
fsl_course_data/fmri/ptt/at/at_left.feat/tsplot/ps_tsplot_zfstat1_ev5.png
fsl_course_data/fmri/ptt/at/at_left.feat/tsplot/ps_tsplot_zstat4_ev3.txt
fsl_course_data/fmri/ptt/at/at_left.feat/tsplot/ps_tsplotc_zstat3_ev5.png
fsl_course_data/fmri/ptt/at/at_left.feat/tsplot/ps_tsplotc_zstat3_ev2.png
fsl_course_data/fmri/ptt/at/at_left.feat/tsplot/ps_tsplot_zfstat1_ev2.png
fsl_course_data/fmri/ptt/at/at_left.feat/tsplot/ps_tsplot_zstat4_ev4.txt
fsl_course_data/fmri/ptt/at/at_left.feat/tsplot/tsplotc_zstat4.txt
fsl_course_data/fmri/ptt/at/at_left.feat/tsplot/ps_tsplot_zstat4_ev2p.png
fsl_course_data/fmri/ptt/at/at_left.feat/tsplot/ps_tsplotc_zstat2_ev1.txt
fsl_course_data/fmri/ptt/at/at_left.feat/tsplot/ps_tsplotc_zstat2_ev5p.png
fsl_course_data/fmri/ptt/at/at_left.feat/tsplot/ps_tsplotc_zstat2_ev6.txt
fsl_course_data/fmri/ptt/at/at_left.feat/tsplot/tsplotc_zfstat1.txt
fsl_course_data/fmri/ptt/at/at_left.feat/tsplot/tsplotc_zstat3.txt
fsl_course_data/fmri/ptt/at/at_left.feat/tsplot/ps_tsplot_zstat3_ev6.txt
fsl_course_data/fmri/ptt/at/at_left.feat/tsplot/ps_tsplotc_zstat4_ev4p.png
fsl_course_data/fmri/ptt/at/at_left.feat/tsplot/tsplotc_zstat4p.png
fsl_course_data/fmri/ptt/at/at_left.feat/tsplot/ps_tsplot_zstat2_ev3p.png
fsl_course_data/fmri/ptt/at/at_left.feat/tsplot/tsplot_index.html
fsl_course_data/fmri/ptt/at/at_left.feat/tsplot/ps_tsplot_zstat3_ev1.txt
fsl_course_data/fmri/ptt/at/at_left.feat/tsplot/ps_tsplotc_zstat1_ev4.txt
fsl_course_data/fmri/ptt/at/at_left.feat/tsplot/ps_tsplot_zstat2_ev2.png
fsl_course_data/fmri/ptt/at/at_left.feat/tsplot/ps_tsplotc_zfstat1_ev3.txt
fsl_course_data/fmri/ptt/at/at_left.feat/tsplot/ps_tsplotc_zstat5_ev4.txt
fsl_course_data/fmri/ptt/at/at_left.feat/tsplot/tsplot_zstat5.png
fsl_course_data/fmri/ptt/at/at_left.feat/tsplot/ps_tsplotc_zfstat1_ev4.txt
fsl_course_data/fmri/ptt/at/at_left.feat/tsplot/ps_tsplotc_zstat5_ev3.txt
fsl_course_data/fmri/ptt/at/at_left.feat/tsplot/ps_tsplot_zstat4_ev6p.png
fsl_course_data/fmri/ptt/at/at_left.feat/tsplot/tsplot_zstat2.png
fsl_course_data/fmri/ptt/at/at_left.feat/tsplot/ps_tsplotc_zstat1_ev3.txt
fsl_course_data/fmri/ptt/at/at_left.feat/tsplot/ps_tsplot_zstat2_ev5.png
fsl_course_data/fmri/ptt/at/at_left.feat/tsplot/ps_tsplotc_zstat2_ev1p.png
fsl_course_data/fmri/ptt/at/at_left.feat/tsplot/ps_tsplot_zstat3_ev3.png
fsl_course_data/fmri/ptt/at/at_left.feat/tsplot/ps_tsplot_zstat3_ev2p.png
fsl_course_data/fmri/ptt/at/at_left.feat/tsplot/ps_tsplotc_zstat5_ev5p.png
fsl_course_data/fmri/ptt/at/at_left.feat/tsplot/ps_tsplotc_zstat4_ev5.txt
fsl_course_data/fmri/ptt/at/at_left.feat/tsplot/tsplot_zstat5.html
fsl_course_data/fmri/ptt/at/at_left.feat/tsplot/ps_tsplotc_zstat4_ev2.txt
fsl_course_data/fmri/ptt/at/at_left.feat/tsplot/ps_tsplot_zstat1_ev1p.png
fsl_course_data/fmri/ptt/at/at_left.feat/tsplot/ps_tsplot_zstat3_ev4.png
fsl_course_data/fmri/ptt/at/at_left.feat/tsplot/ps_tsplot_zfstat1_ev2p.png
fsl_course_data/fmri/ptt/at/at_left.feat/tsplot/ps_tsplotc_zfstat1_ev3p.png
fsl_course_data/fmri/ptt/at/at_left.feat/tsplot/ps_tsplotc_zstat1_ev3p.png
fsl_course_data/fmri/ptt/at/at_left.feat/tsplot/ps_tsplotc_zstat1_ev1.png
fsl_course_data/fmri/ptt/at/at_left.feat/tsplot/ps_tsplotc_zfstat1_ev6.png
fsl_course_data/fmri/ptt/at/at_left.feat/tsplot/ps_tsplotc_zstat5_ev1.png
fsl_course_data/fmri/ptt/at/at_left.feat/tsplot/ps_tsplotc_zfstat1_ev1.png
fsl_course_data/fmri/ptt/at/at_left.feat/tsplot/ps_tsplotc_zstat5_ev6.png
fsl_course_data/fmri/ptt/at/at_left.feat/tsplot/ps_tsplotc_zstat1_ev6.png
fsl_course_data/fmri/ptt/at/at_left.feat/tsplot/tsplot_zstat1.html
fsl_course_data/fmri/ptt/at/at_left.feat/tsplot/ps_tsplot_zstat4_ev6.png
fsl_course_data/fmri/ptt/at/at_left.feat/tsplot/ps_tsplot_zstat1_ev5p.png
fsl_course_data/fmri/ptt/at/at_left.feat/tsplot/ps_tsplot_zfstat1_ev6p.png
fsl_course_data/fmri/ptt/at/at_left.feat/tsplot/ps_tsplot_zstat3_ev6p.png
fsl_course_data/fmri/ptt/at/at_left.feat/tsplot/ps_tsplotc_zstat5_ev1p.png
fsl_course_data/fmri/ptt/at/at_left.feat/tsplot/ps_tsplot_zstat4_ev1.png
fsl_course_data/fmri/ptt/at/at_left.feat/tsplot/tsplot_zstat2p.png
fsl_course_data/fmri/ptt/at/at_left.feat/tsplot/tsplotc_zstat1.png
fsl_course_data/fmri/ptt/at/at_left.feat/tsplot/ps_tsplotc_zstat3_ev4p.png
fsl_course_data/fmri/ptt/at/at_left.feat/tsplot/ps_tsplot_zstat5_ev2.txt
fsl_course_data/fmri/ptt/at/at_left.feat/tsplot/ps_tsplotc_zstat2_ev4.png
fsl_course_data/fmri/ptt/at/at_left.feat/tsplot/ps_tsplot_zstat1_ev2.txt
fsl_course_data/fmri/ptt/at/at_left.feat/tsplot/ps_tsplot_zstat5_ev3p.png
fsl_course_data/fmri/ptt/at/at_left.feat/tsplot/ps_tsplotc_zstat2_ev3.png
fsl_course_data/fmri/ptt/at/at_left.feat/tsplot/ps_tsplot_zstat1_ev5.txt
fsl_course_data/fmri/ptt/at/at_left.feat/tsplot/ps_tsplot_zstat5_ev5.txt
fsl_course_data/fmri/ptt/at/at_left.feat/tsplot/ps_tsplotc_zstat4_ev1.txt
fsl_course_data/fmri/ptt/at/at_left.feat/tsplot/ps_tsplot_zstat2_ev5p.png
fsl_course_data/fmri/ptt/at/at_left.feat/tsplot/tsplotc_zstat2p.png
fsl_course_data/fmri/ptt/at/at_left.feat/tsplot/ps_tsplotc_zstat4_ev6.txt
fsl_course_data/fmri/ptt/at/at_left.feat/tsplot/ps_tsplotc_zstat4_ev2p.png
fsl_course_data/fmri/ptt/at/at_left.feat/tsplot/tsplot_zstat4.txt
fsl_course_data/fmri/ptt/at/at_left.feat/tsplot/ps_tsplotc_zstat5_ev5.png
fsl_course_data/fmri/ptt/at/at_left.feat/tsplot/ps_tsplotc_zfstat1_ev2.png
fsl_course_data/fmri/ptt/at/at_left.feat/tsplot/ps_tsplot_zstat2_ev3.txt
fsl_course_data/fmri/ptt/at/at_left.feat/tsplot/ps_tsplotc_zstat1_ev5.png
fsl_course_data/fmri/ptt/at/at_left.feat/tsplot/ps_tsplot_zstat2_ev4.txt
fsl_course_data/fmri/ptt/at/at_left.feat/tsplot/ps_tsplotc_zstat1_ev2.png
fsl_course_data/fmri/ptt/at/at_left.feat/tsplot/tsplot_zstat3.txt
fsl_course_data/fmri/ptt/at/at_left.feat/tsplot/ps_tsplotc_zstat5_ev2.png
fsl_course_data/fmri/ptt/at/at_left.feat/tsplot/ps_tsplotc_zfstat1_ev5.png
fsl_course_data/fmri/ptt/at/at_left.feat/tsplot/ps_tsplotc_zstat3_ev4.txt
fsl_course_data/fmri/ptt/at/at_left.feat/tsplot/ps_tsplot_zstat2_ev1p.png
fsl_course_data/fmri/ptt/at/at_left.feat/tsplot/ps_tsplot_zstat4_ev2.png
fsl_course_data/fmri/ptt/at/at_left.feat/tsplot/ps_tsplotc_zstat4_ev6p.png
fsl_course_data/fmri/ptt/at/at_left.feat/tsplot/ps_tsplot_zfstat1_ev4.txt
fsl_course_data/fmri/ptt/at/at_left.feat/tsplot/ps_tsplot_zstat4_ev5.png
fsl_course_data/fmri/ptt/at/at_left.feat/tsplot/ps_tsplot_zfstat1_ev3.txt
fsl_course_data/fmri/ptt/at/at_left.feat/tsplot/ps_tsplotc_zstat3_ev3.txt
fsl_course_data/fmri/ptt/at/at_left.feat/tsplot/ps_tsplot_zstat1_ev6.txt
fsl_course_data/fmri/ptt/at/at_left.feat/tsplot/tsplotc_zstat5.png
fsl_course_data/fmri/ptt/at/at_left.feat/tsplot/ps_tsplot_zstat5_ev6.txt
fsl_course_data/fmri/ptt/at/at_left.feat/tsplot/ps_tsplotc_zstat2_ev3p.png
fsl_course_data/fmri/ptt/at/at_left.feat/tsplot/tsplotc_zstat2.png
fsl_course_data/fmri/ptt/at/at_left.feat/tsplot/ps_tsplot_zstat5_ev1.txt
fsl_course_data/fmri/ptt/at/at_left.feat/tsplot/ps_tsplot_zstat4_ev4p.png
fsl_course_data/fmri/ptt/at/at_left.feat/tsplot/ps_tsplot_zstat1_ev1.txt
fsl_course_data/fmri/ptt/at/at_left.feat/tsplot/ps_tsplotc_zstat3_ev1.png
fsl_course_data/fmri/ptt/at/at_left.feat/tsplot/ps_tsplot_zfstat1_ev1.png
fsl_course_data/fmri/ptt/at/at_left.feat/tsplot/ps_tsplotc_zfstat1_ev1p.png
fsl_course_data/fmri/ptt/at/at_left.feat/tsplot/ps_tsplot_zfstat1_ev6.png
fsl_course_data/fmri/ptt/at/at_left.feat/tsplot/ps_tsplotc_zstat3_ev6.png
fsl_course_data/fmri/ptt/at/at_left.feat/tsplot/ps_tsplot_zstat1_ev3p.png
fsl_course_data/fmri/ptt/at/at_left.feat/tsplot/ps_tsplot_zstat1_ev3.png
fsl_course_data/fmri/ptt/at/at_left.feat/tsplot/ps_tsplotc_zstat2_ev5.txt
fsl_course_data/fmri/ptt/at/at_left.feat/tsplot/ps_tsplot_zstat5_ev3.png
fsl_course_data/fmri/ptt/at/at_left.feat/tsplot/ps_tsplotc_zstat1_ev1p.png
fsl_course_data/fmri/ptt/at/at_left.feat/tsplot/ps_tsplot_zstat5_ev5p.png
fsl_course_data/fmri/ptt/at/at_left.feat/tsplot/ps_tsplot_zstat5_ev4.png
fsl_course_data/fmri/ptt/at/at_left.feat/tsplot/ps_tsplotc_zstat3_ev2p.png
fsl_course_data/fmri/ptt/at/at_left.feat/tsplot/ps_tsplot_zstat1_ev4.png
fsl_course_data/fmri/ptt/at/at_left.feat/tsplot/ps_tsplotc_zstat2_ev2.txt
fsl_course_data/fmri/ptt/at/at_left.feat/tsplot/tsplot_zstat4p.png
fsl_course_data/fmri/ptt/at/at_left.feat/tsplot/ps_tsplotc_zfstat1_ev5p.png
fsl_course_data/fmri/ptt/at/at_left.feat/tsplot/ps_tsplot_zfstat1_ev4p.png
fsl_course_data/fmri/ptt/at/at_left.feat/tsplot/ps_tsplotc_zstat4_ev4.png
fsl_course_data/fmri/ptt/at/at_left.feat/tsplot/ps_tsplot_zstat3_ev2.txt
fsl_course_data/fmri/ptt/at/at_left.feat/tsplot/tsplot_zstat3.html
fsl_course_data/fmri/ptt/at/at_left.feat/tsplot/tsplot_zfstat1.txt
fsl_course_data/fmri/ptt/at/at_left.feat/tsplot/ps_tsplot_zstat3_ev5.txt
fsl_course_data/fmri/ptt/at/at_left.feat/tsplot/ps_tsplotc_zstat5_ev3p.png
fsl_course_data/fmri/ptt/at/at_left.feat/tsplot/ps_tsplot_zstat3_ev4p.png
fsl_course_data/fmri/ptt/at/at_left.feat/tsplot/ps_tsplotc_zstat4_ev3.png
fsl_course_data/fmri/ptt/at/at_left.feat/tsplot/ps_tsplot_zstat5_ev1p.png
fsl_course_data/fmri/ptt/at/at_left.feat/tsplot/tsplot_zstat1.png
fsl_course_data/fmri/ptt/at/at_left.feat/tsplot/ps_tsplot_zstat2_ev6.png
fsl_course_data/fmri/ptt/at/at_left.feat/tsplot/ps_tsplotc_zstat3_ev6p.png
fsl_course_data/fmri/ptt/at/at_left.feat/tsplot/ps_tsplot_zstat2_ev1.png
fsl_course_data/fmri/ptt/at/at_left.feat/tsplot/ps_tsplotc_zstat1_ev5p.png
fsl_course_data/fmri/ptt/at/at_left.feat/tsplot/ps_tsplotc_zstat5_ev6p.png
fsl_course_data/fmri/ptt/at/at_left.feat/tsplot/tsplotc_zstat3.png
fsl_course_data/fmri/ptt/at/at_left.feat/tsplot/tsplotc_zfstat1.png
fsl_course_data/fmri/ptt/at/at_left.feat/tsplot/ps_tsplotc_zstat2_ev6.png
fsl_course_data/fmri/ptt/at/at_left.feat/tsplot/ps_tsplot_zstat3_ev1p.png
fsl_course_data/fmri/ptt/at/at_left.feat/tsplot/ps_tsplotc_zstat2_ev1.png
fsl_course_data/fmri/ptt/at/at_left.feat/tsplot/ps_tsplot_zfstat1_ev1p.png
fsl_course_data/fmri/ptt/at/at_left.feat/tsplot/tsplotc_zstat4.png
fsl_course_data/fmri/ptt/at/at_left.feat/tsplot/ps_tsplot_zstat1_ev2p.png
fsl_course_data/fmri/ptt/at/at_left.feat/tsplot/ps_tsplot_zstat4_ev4.png
fsl_course_data/fmri/ptt/at/at_left.feat/tsplot/ps_tsplot_zfstat1_ev2.txt
fsl_course_data/fmri/ptt/at/at_left.feat/tsplot/ps_tsplotc_zstat3_ev2.txt
fsl_course_data/fmri/ptt/at/at_left.feat/tsplot/ps_tsplotc_zstat3_ev5.txt
fsl_course_data/fmri/ptt/at/at_left.feat/tsplot/ps_tsplot_zstat5_ev4p.png
fsl_course_data/fmri/ptt/at/at_left.feat/tsplot/tsplot_zstat5p.png
fsl_course_data/fmri/ptt/at/at_left.feat/tsplot/ps_tsplot_zstat4_ev3.png
fsl_course_data/fmri/ptt/at/at_left.feat/tsplot/ps_tsplotc_zstat3_ev3p.png
fsl_course_data/fmri/ptt/at/at_left.feat/tsplot/ps_tsplot_zfstat1_ev5.txt
fsl_course_data/fmri/ptt/at/at_left.feat/tsplot/ps_tsplot_zstat2_ev5.txt
fsl_course_data/fmri/ptt/at/at_left.feat/tsplot/ps_tsplot_zfstat1_ev5p.png
fsl_course_data/fmri/ptt/at/at_left.feat/tsplot/ps_tsplotc_zstat1_ev3.png
fsl_course_data/fmri/ptt/at/at_left.feat/tsplot/ps_tsplotc_zfstat1_ev4p.png
fsl_course_data/fmri/ptt/at/at_left.feat/tsplot/tsplot_zstat2.html
fsl_course_data/fmri/ptt/at/at_left.feat/tsplot/tsplot_zstat2.txt
fsl_course_data/fmri/ptt/at/at_left.feat/tsplot/ps_tsplotc_zstat5_ev3.png
fsl_course_data/fmri/ptt/at/at_left.feat/tsplot/ps_tsplot_zstat1_ev6p.png
fsl_course_data/fmri/ptt/at/at_left.feat/tsplot/ps_tsplotc_zfstat1_ev4.png
fsl_course_data/fmri/ptt/at/at_left.feat/tsplot/ps_tsplotc_zstat5_ev2p.png
fsl_course_data/fmri/ptt/at/at_left.feat/tsplot/tsplot_zstat5.txt
fsl_course_data/fmri/ptt/at/at_left.feat/tsplot/ps_tsplotc_zstat5_ev4.png
fsl_course_data/fmri/ptt/at/at_left.feat/tsplot/ps_tsplotc_zfstat1_ev3.png
fsl_course_data/fmri/ptt/at/at_left.feat/tsplot/ps_tsplot_zstat2_ev2.txt
fsl_course_data/fmri/ptt/at/at_left.feat/tsplot/ps_tsplot_zstat3_ev5p.png
fsl_course_data/fmri/ptt/at/at_left.feat/tsplot/ps_tsplotc_zstat1_ev4.png
fsl_course_data/fmri/ptt/at/at_left.feat/tsplot/ps_tsplot_zstat3_ev1.png
fsl_course_data/fmri/ptt/at/at_left.feat/tsplot/tsplot_zstat1p.png
fsl_course_data/fmri/ptt/at/at_left.feat/tsplot/ps_tsplotc_zstat1_ev4p.png
fsl_course_data/fmri/ptt/at/at_left.feat/tsplot/ps_tsplot_zstat3_ev6.png
fsl_course_data/fmri/ptt/at/at_left.feat/tsplot/ps_tsplotc_zstat1_ev6.txt
fsl_course_data/fmri/ptt/at/at_left.feat/tsplot/ps_tsplotc_zstat5_ev6.txt
fsl_course_data/fmri/ptt/at/at_left.feat/tsplot/ps_tsplotc_zfstat1_ev1.txt
fsl_course_data/fmri/ptt/at/at_left.feat/tsplot/tsplotc_zstat3p.png
fsl_course_data/fmri/ptt/at/at_left.feat/tsplot/ps_tsplot_zstat2_ev4p.png
fsl_course_data/fmri/ptt/at/at_left.feat/tsplot/ps_tsplotc_zstat5_ev1.txt
fsl_course_data/fmri/ptt/at/at_left.feat/tsplot/ps_tsplotc_zfstat1_ev6.txt
fsl_course_data/fmri/ptt/at/at_left.feat/tsplot/ps_tsplotc_zstat1_ev1.txt
fsl_course_data/fmri/ptt/at/at_left.feat/tsplot/ps_tsplotc_zstat4_ev3p.png
fsl_course_data/fmri/ptt/at/at_left.feat/tsplot/ps_tsplot_zstat3_ev4.txt
fsl_course_data/fmri/ptt/at/at_left.feat/tsplot/ps_tsplotc_zstat2_ev6p.png
fsl_course_data/fmri/ptt/at/at_left.feat/tsplot/ps_tsplot_zstat4_ev1p.png
fsl_course_data/fmri/ptt/at/at_left.feat/tsplot/ps_tsplotc_zstat4_ev2.png
fsl_course_data/fmri/ptt/at/at_left.feat/tsplot/ps_tsplotc_zstat4_ev5.png
fsl_course_data/fmri/ptt/at/at_left.feat/tsplot/ps_tsplot_zstat3_ev3.txt
fsl_course_data/fmri/ptt/at/at_left.feat/tsplot/ps_tsplot_zstat5_ev5.png
fsl_course_data/fmri/ptt/at/at_left.feat/tsplot/ps_tsplot_zstat1_ev5.png
fsl_course_data/fmri/ptt/at/at_left.feat/tsplot/ps_tsplotc_zstat2_ev3.txt
fsl_course_data/fmri/ptt/at/at_left.feat/tsplot/ps_tsplot_zstat1_ev2.png
fsl_course_data/fmri/ptt/at/at_left.feat/tsplot/ps_tsplotc_zstat2_ev4.txt
fsl_course_data/fmri/ptt/at/at_left.feat/tsplot/tsplotc_zstat1.txt
fsl_course_data/fmri/ptt/at/at_left.feat/tsplot/ps_tsplot_zstat5_ev2.png
fsl_course_data/fmri/ptt/at/at_left.feat/tsplot/ps_tsplot_zstat4_ev1.txt
fsl_course_data/fmri/ptt/at/at_left.feat/tsplot/ps_tsplotc_zstat2_ev2p.png
fsl_course_data/fmri/ptt/at/at_left.feat/tsplot/ps_tsplot_zstat4_ev6.txt
fsl_course_data/fmri/ptt/at/at_left.feat/tsplot/ps_tsplot_zstat4_ev5p.png
fsl_course_data/fmri/ptt/at/at_left.feat/rendered_thresh_zfstat1.nii.gz
fsl_course_data/fmri/ptt/at/at_left.feat/report_prestats.html
fsl_course_data/fmri/ptt/at/at_left.feat/cluster_zstat1_std.html
fsl_course_data/fmri/ptt/at/at_left.feat/cluster_zstat1.txt
fsl_course_data/fmri/ptt/at/at_left.feat/filtered_func_data.nii.gz
fsl_course_data/fmri/ptt/at/at_left.feat/thresh_zstat5.vol
fsl_course_data/fmri/ptt/at/at_left.feat/rendered_thresh_zstat2.png
fsl_course_data/fmri/ptt/at/at_left.feat/design.con
fsl_course_data/fmri/ptt/at/at_left.feat/rendered_thresh_zstat5.png
fsl_course_data/fmri/ptt/at/at_left.feat/lmax_zfstat1.txt
fsl_course_data/fmri/ptt/at/at_left.feat/cluster_zstat4.html
fsl_course_data/fmri/ptt/at/at_left.feat/thresh_zstat2.vol
fsl_course_data/fmri/ptt/at/at_left.feat/cluster_mask_zstat3.nii.gz
fsl_course_data/fmri/ptt/at/at_left.feat/thresh_zstat2.nii.gz
fsl_course_data/fmri/ptt/at/at_left.feat/rendered_thresh_zstat1.nii.gz
fsl_course_data/fmri/ptt/at/at_left.feat/mean_func.nii.gz
fsl_course_data/fmri/ptt/at/at_left.feat/stats/
fsl_course_data/fmri/ptt/at/at_left.feat/stats/tstat4.nii.gz
fsl_course_data/fmri/ptt/at/at_left.feat/stats/zstat5.nii.gz
fsl_course_data/fmri/ptt/at/at_left.feat/stats/pe1.nii.gz
fsl_course_data/fmri/ptt/at/at_left.feat/stats/varcope5.nii.gz
fsl_course_data/fmri/ptt/at/at_left.feat/stats/neff2.nii.gz
fsl_course_data/fmri/ptt/at/at_left.feat/stats/cope2.nii.gz
fsl_course_data/fmri/ptt/at/at_left.feat/stats/pe3.nii.gz
fsl_course_data/fmri/ptt/at/at_left.feat/stats/zfstat1.nii.gz
fsl_course_data/fmri/ptt/at/at_left.feat/stats/varcope1.nii.gz
fsl_course_data/fmri/ptt/at/at_left.feat/stats/pe5.nii.gz
fsl_course_data/fmri/ptt/at/at_left.feat/stats/smoothness
fsl_course_data/fmri/ptt/at/at_left.feat/stats/zstat1.nii.gz
fsl_course_data/fmri/ptt/at/at_left.feat/stats/epivolume.nii.gz
fsl_course_data/fmri/ptt/at/at_left.feat/stats/cmlogfile
fsl_course_data/fmri/ptt/at/at_left.feat/stats/probs
fsl_course_data/fmri/ptt/at/at_left.feat/stats/fstat1.nii.gz
fsl_course_data/fmri/ptt/at/at_left.feat/stats/varcope3.nii.gz
fsl_course_data/fmri/ptt/at/at_left.feat/stats/neff4.nii.gz
fsl_course_data/fmri/ptt/at/at_left.feat/stats/threshac1.nii.gz
fsl_course_data/fmri/ptt/at/at_left.feat/stats/tstat2.nii.gz
fsl_course_data/fmri/ptt/at/at_left.feat/stats/zstat3.nii.gz
fsl_course_data/fmri/ptt/at/at_left.feat/stats/cope4.nii.gz
fsl_course_data/fmri/ptt/at/at_left.feat/stats/pe4.nii.gz
fsl_course_data/fmri/ptt/at/at_left.feat/stats/tstat1.nii.gz
fsl_course_data/fmri/ptt/at/at_left.feat/stats/cope5.nii.gz
fsl_course_data/fmri/ptt/at/at_left.feat/stats/corrections.nii.gz
fsl_course_data/fmri/ptt/at/at_left.feat/stats/tstat3.nii.gz
fsl_course_data/fmri/ptt/at/at_left.feat/stats/zstat2.nii.gz
fsl_course_data/fmri/ptt/at/at_left.feat/stats/pe6.nii.gz
fsl_course_data/fmri/ptt/at/at_left.feat/stats/varcope2.nii.gz
fsl_course_data/fmri/ptt/at/at_left.feat/stats/neff5.nii.gz
fsl_course_data/fmri/ptt/at/at_left.feat/stats/sigmasquareds.nii.gz
fsl_course_data/fmri/ptt/at/at_left.feat/stats/cope3.nii.gz
fsl_course_data/fmri/ptt/at/at_left.feat/stats/varcope4.nii.gz
fsl_course_data/fmri/ptt/at/at_left.feat/stats/neff3.nii.gz
fsl_course_data/fmri/ptt/at/at_left.feat/stats/logfile
fsl_course_data/fmri/ptt/at/at_left.feat/stats/tstat5.nii.gz
fsl_course_data/fmri/ptt/at/at_left.feat/stats/zstat4.nii.gz
fsl_course_data/fmri/ptt/at/at_left.feat/stats/dof
fsl_course_data/fmri/ptt/at/at_left.feat/stats/ratios
fsl_course_data/fmri/ptt/at/at_left.feat/stats/cope1.nii.gz
fsl_course_data/fmri/ptt/at/at_left.feat/stats/neff1.nii.gz
fsl_course_data/fmri/ptt/at/at_left.feat/stats/res4d.nii.gz
fsl_course_data/fmri/ptt/at/at_left.feat/stats/pe2.nii.gz
fsl_course_data/fmri/ptt/at/at_left.feat/cluster_zstat4_std.txt
fsl_course_data/fmri/ptt/at/at_left.feat/lmax_zstat4.txt
fsl_course_data/fmri/ptt/at/at_left.feat/.ramp.gif
fsl_course_data/fmri/ptt/at/at_left.feat/lmax_zstat2_std.txt
fsl_course_data/fmri/ptt/at/at_left.feat/lmax_zstat3.txt
fsl_course_data/fmri/ptt/at/at_left.feat/rendered_thresh_zstat4.png
fsl_course_data/fmri/ptt/at/at_left.feat/thresh_zstat3.vol
fsl_course_data/fmri/ptt/at/at_left.feat/absbrainthresh.txt
fsl_course_data/fmri/ptt/at/at_left.feat/thresh_zstat4.vol
fsl_course_data/fmri/ptt/at/at_left.feat/rendered_thresh_zstat3.png
fsl_course_data/fmri/ptt/at/at_left.feat/report_log.html
fsl_course_data/fmri/ptt/at/at_left.feat/cluster_zstat1_std.txt
fsl_course_data/fmri/ptt/at/at_left.feat/cluster_zstat5_std.txt
fsl_course_data/fmri/ptt/at/at_left.feat/cluster_mask_zstat5.nii.gz
fsl_course_data/fmri/ptt/at/at_left.feat/thresh_zstat4.nii.gz
fsl_course_data/fmri/ptt/at/at_left.feat/cluster_zfstat1_std.html
fsl_course_data/fmri/ptt/at/at_left.feat/reg/
fsl_course_data/fmri/ptt/at/at_left.feat/reg/standard.nii.gz
fsl_course_data/fmri/ptt/at/at_left.feat/reg/highres2standard2.png
fsl_course_data/fmri/ptt/at/at_left.feat/reg/example_func2standard.png
fsl_course_data/fmri/ptt/at/at_left.feat/reg/example_func2standard.mat
fsl_course_data/fmri/ptt/at/at_left.feat/reg/example_func2standard2.png
fsl_course_data/fmri/ptt/at/at_left.feat/reg/example_func2highres1.png
fsl_course_data/fmri/ptt/at/at_left.feat/reg/example_func2highres.mat
fsl_course_data/fmri/ptt/at/at_left.feat/reg/example_func2highres2.png
fsl_course_data/fmri/ptt/at/at_left.feat/reg/example_func.nii.gz
fsl_course_data/fmri/ptt/at/at_left.feat/reg/highres2standard.png
fsl_course_data/fmri/ptt/at/at_left.feat/reg/highres.nii.gz
fsl_course_data/fmri/ptt/at/at_left.feat/reg/example_func2standard1.png
fsl_course_data/fmri/ptt/at/at_left.feat/reg/highres2standard1.png
fsl_course_data/fmri/ptt/at/at_left.feat/reg/highres2standard.mat
fsl_course_data/fmri/ptt/at/at_left.feat/reg/highres2standard.nii.gz
fsl_course_data/fmri/ptt/at/at_left.feat/reg/example_func2standard.nii.gz
fsl_course_data/fmri/ptt/at/at_left.feat/reg/example_func2highres.png
fsl_course_data/fmri/ptt/at/at_left.feat/reg/highres2example_func.mat
fsl_course_data/fmri/ptt/at/at_left.feat/reg/standard2example_func.mat
fsl_course_data/fmri/ptt/at/at_left.feat/reg/standard2highres.mat
fsl_course_data/fmri/ptt/at/at_left.feat/reg/example_func2highres.nii.gz
fsl_course_data/fmri/ptt/at/at_left.feat/design.fts
fsl_course_data/fmri/ptt/at/at_left.feat/lmax_zstat3_std.txt
fsl_course_data/fmri/ptt/at/at_left.feat/cluster_zfstat1.html
fsl_course_data/fmri/ptt/at/at_left.feat/cluster_zfstat1_std.txt
fsl_course_data/fmri/ptt/at/at_left.feat/lmax_zstat2.txt
fsl_course_data/fmri/ptt/at/at_left.feat/mc/
fsl_course_data/fmri/ptt/at/at_left.feat/mc/prefiltered_func_data_mcf_abs_mean.rms
fsl_course_data/fmri/ptt/at/at_left.feat/mc/prefiltered_func_data_mcf_abs.rms
fsl_course_data/fmri/ptt/at/at_left.feat/mc/prefiltered_func_data_mcf.par
fsl_course_data/fmri/ptt/at/at_left.feat/mc/prefiltered_func_data_mcf_rel_mean.rms
fsl_course_data/fmri/ptt/at/at_left.feat/mc/rot.png
fsl_course_data/fmri/ptt/at/at_left.feat/mc/trans.png
fsl_course_data/fmri/ptt/at/at_left.feat/mc/prefiltered_func_data_mcf.mat/
fsl_course_data/fmri/ptt/at/at_left.feat/mc/prefiltered_func_data_mcf.mat/MAT_0037
fsl_course_data/fmri/ptt/at/at_left.feat/mc/prefiltered_func_data_mcf.mat/MAT_0040
fsl_course_data/fmri/ptt/at/at_left.feat/mc/prefiltered_func_data_mcf.mat/MAT_0078
fsl_course_data/fmri/ptt/at/at_left.feat/mc/prefiltered_func_data_mcf.mat/MAT_0096
fsl_course_data/fmri/ptt/at/at_left.feat/mc/prefiltered_func_data_mcf.mat/MAT_0102
fsl_course_data/fmri/ptt/at/at_left.feat/mc/prefiltered_func_data_mcf.mat/MAT_0072
fsl_course_data/fmri/ptt/at/at_left.feat/mc/prefiltered_func_data_mcf.mat/MAT_0005
fsl_course_data/fmri/ptt/at/at_left.feat/mc/prefiltered_func_data_mcf.mat/MAT_0108
fsl_course_data/fmri/ptt/at/at_left.feat/mc/prefiltered_func_data_mcf.mat/MAT_0024
fsl_course_data/fmri/ptt/at/at_left.feat/mc/prefiltered_func_data_mcf.mat/MAT_0053
fsl_course_data/fmri/ptt/at/at_left.feat/mc/prefiltered_func_data_mcf.mat/MAT_0059
fsl_course_data/fmri/ptt/at/at_left.feat/mc/prefiltered_func_data_mcf.mat/MAT_0061
fsl_course_data/fmri/ptt/at/at_left.feat/mc/prefiltered_func_data_mcf.mat/MAT_0016
fsl_course_data/fmri/ptt/at/at_left.feat/mc/prefiltered_func_data_mcf.mat/MAT_0085
fsl_course_data/fmri/ptt/at/at_left.feat/mc/prefiltered_func_data_mcf.mat/MAT_0111
fsl_course_data/fmri/ptt/at/at_left.feat/mc/prefiltered_func_data_mcf.mat/MAT_0011
fsl_course_data/fmri/ptt/at/at_left.feat/mc/prefiltered_func_data_mcf.mat/MAT_0066
fsl_course_data/fmri/ptt/at/at_left.feat/mc/prefiltered_func_data_mcf.mat/MAT_0088
fsl_course_data/fmri/ptt/at/at_left.feat/mc/prefiltered_func_data_mcf.mat/MAT_0116
fsl_course_data/fmri/ptt/at/at_left.feat/mc/prefiltered_func_data_mcf.mat/MAT_0082
fsl_course_data/fmri/ptt/at/at_left.feat/mc/prefiltered_func_data_mcf.mat/MAT_0054
fsl_course_data/fmri/ptt/at/at_left.feat/mc/prefiltered_func_data_mcf.mat/MAT_0023
fsl_course_data/fmri/ptt/at/at_left.feat/mc/prefiltered_func_data_mcf.mat/MAT_0029
fsl_course_data/fmri/ptt/at/at_left.feat/mc/prefiltered_func_data_mcf.mat/MAT_0105
fsl_course_data/fmri/ptt/at/at_left.feat/mc/prefiltered_func_data_mcf.mat/MAT_0091
fsl_course_data/fmri/ptt/at/at_left.feat/mc/prefiltered_func_data_mcf.mat/MAT_0008
fsl_course_data/fmri/ptt/at/at_left.feat/mc/prefiltered_func_data_mcf.mat/MAT_0002
fsl_course_data/fmri/ptt/at/at_left.feat/mc/prefiltered_func_data_mcf.mat/MAT_0075
fsl_course_data/fmri/ptt/at/at_left.feat/mc/prefiltered_func_data_mcf.mat/MAT_0047
fsl_course_data/fmri/ptt/at/at_left.feat/mc/prefiltered_func_data_mcf.mat/MAT_0030
fsl_course_data/fmri/ptt/at/at_left.feat/mc/prefiltered_func_data_mcf.mat/MAT_0043
fsl_course_data/fmri/ptt/at/at_left.feat/mc/prefiltered_func_data_mcf.mat/MAT_0034
fsl_course_data/fmri/ptt/at/at_left.feat/mc/prefiltered_func_data_mcf.mat/MAT_0049
fsl_course_data/fmri/ptt/at/at_left.feat/mc/prefiltered_func_data_mcf.mat/MAT_0006
fsl_course_data/fmri/ptt/at/at_left.feat/mc/prefiltered_func_data_mcf.mat/MAT_0071
fsl_course_data/fmri/ptt/at/at_left.feat/mc/prefiltered_func_data_mcf.mat/MAT_0095
fsl_course_data/fmri/ptt/at/at_left.feat/mc/prefiltered_func_data_mcf.mat/MAT_0101
fsl_course_data/fmri/ptt/at/at_left.feat/mc/prefiltered_func_data_mcf.mat/MAT_0120
fsl_course_data/fmri/ptt/at/at_left.feat/mc/prefiltered_func_data_mcf.mat/MAT_0050
fsl_course_data/fmri/ptt/at/at_left.feat/mc/prefiltered_func_data_mcf.mat/MAT_0027
fsl_course_data/fmri/ptt/at/at_left.feat/mc/prefiltered_func_data_mcf.mat/MAT_0086
fsl_course_data/fmri/ptt/at/at_left.feat/mc/prefiltered_func_data_mcf.mat/MAT_0112
fsl_course_data/fmri/ptt/at/at_left.feat/mc/prefiltered_func_data_mcf.mat/MAT_0068
fsl_course_data/fmri/ptt/at/at_left.feat/mc/prefiltered_func_data_mcf.mat/MAT_0118
fsl_course_data/fmri/ptt/at/at_left.feat/mc/prefiltered_func_data_mcf.mat/MAT_0015
fsl_course_data/fmri/ptt/at/at_left.feat/mc/prefiltered_func_data_mcf.mat/MAT_0062
fsl_course_data/fmri/ptt/at/at_left.feat/mc/prefiltered_func_data_mcf.mat/MAT_0018
fsl_course_data/fmri/ptt/at/at_left.feat/mc/prefiltered_func_data_mcf.mat/MAT_0115
fsl_course_data/fmri/ptt/at/at_left.feat/mc/prefiltered_func_data_mcf.mat/MAT_0081
fsl_course_data/fmri/ptt/at/at_left.feat/mc/prefiltered_func_data_mcf.mat/MAT_0065
fsl_course_data/fmri/ptt/at/at_left.feat/mc/prefiltered_func_data_mcf.mat/MAT_0012
fsl_course_data/fmri/ptt/at/at_left.feat/mc/prefiltered_func_data_mcf.mat/MAT_0020
fsl_course_data/fmri/ptt/at/at_left.feat/mc/prefiltered_func_data_mcf.mat/MAT_0057
fsl_course_data/fmri/ptt/at/at_left.feat/mc/prefiltered_func_data_mcf.mat/MAT_0098
fsl_course_data/fmri/ptt/at/at_left.feat/mc/prefiltered_func_data_mcf.mat/MAT_0076
fsl_course_data/fmri/ptt/at/at_left.feat/mc/prefiltered_func_data_mcf.mat/MAT_0001
fsl_course_data/fmri/ptt/at/at_left.feat/mc/prefiltered_func_data_mcf.mat/MAT_0106
fsl_course_data/fmri/ptt/at/at_left.feat/mc/prefiltered_func_data_mcf.mat/MAT_0092
fsl_course_data/fmri/ptt/at/at_left.feat/mc/prefiltered_func_data_mcf.mat/MAT_0033
fsl_course_data/fmri/ptt/at/at_left.feat/mc/prefiltered_func_data_mcf.mat/MAT_0044
fsl_course_data/fmri/ptt/at/at_left.feat/mc/prefiltered_func_data_mcf.mat/MAT_0039
fsl_course_data/fmri/ptt/at/at_left.feat/mc/prefiltered_func_data_mcf.mat/MAT_0074
fsl_course_data/fmri/ptt/at/at_left.feat/mc/prefiltered_func_data_mcf.mat/MAT_0003
fsl_course_data/fmri/ptt/at/at_left.feat/mc/prefiltered_func_data_mcf.mat/MAT_0104
fsl_course_data/fmri/ptt/at/at_left.feat/mc/prefiltered_func_data_mcf.mat/MAT_0090
fsl_course_data/fmri/ptt/at/at_left.feat/mc/prefiltered_func_data_mcf.mat/MAT_0009
fsl_course_data/fmri/ptt/at/at_left.feat/mc/prefiltered_func_data_mcf.mat/MAT_0031
fsl_course_data/fmri/ptt/at/at_left.feat/mc/prefiltered_func_data_mcf.mat/MAT_0046
fsl_course_data/fmri/ptt/at/at_left.feat/mc/prefiltered_func_data_mcf.mat/MAT_0117
fsl_course_data/fmri/ptt/at/at_left.feat/mc/prefiltered_func_data_mcf.mat/MAT_0083
fsl_course_data/fmri/ptt/at/at_left.feat/mc/prefiltered_func_data_mcf.mat/MAT_0067
fsl_course_data/fmri/ptt/at/at_left.feat/mc/prefiltered_func_data_mcf.mat/MAT_0010
fsl_course_data/fmri/ptt/at/at_left.feat/mc/prefiltered_func_data_mcf.mat/MAT_0089
fsl_course_data/fmri/ptt/at/at_left.feat/mc/prefiltered_func_data_mcf.mat/MAT_0028
fsl_course_data/fmri/ptt/at/at_left.feat/mc/prefiltered_func_data_mcf.mat/MAT_0022
fsl_course_data/fmri/ptt/at/at_left.feat/mc/prefiltered_func_data_mcf.mat/MAT_0055
fsl_course_data/fmri/ptt/at/at_left.feat/mc/prefiltered_func_data_mcf.mat/MAT_0058
fsl_course_data/fmri/ptt/at/at_left.feat/mc/prefiltered_func_data_mcf.mat/MAT_0052
fsl_course_data/fmri/ptt/at/at_left.feat/mc/prefiltered_func_data_mcf.mat/MAT_0025
fsl_course_data/fmri/ptt/at/at_left.feat/mc/prefiltered_func_data_mcf.mat/MAT_0084
fsl_course_data/fmri/ptt/at/at_left.feat/mc/prefiltered_func_data_mcf.mat/MAT_0110
fsl_course_data/fmri/ptt/at/at_left.feat/mc/prefiltered_func_data_mcf.mat/MAT_0017
fsl_course_data/fmri/ptt/at/at_left.feat/mc/prefiltered_func_data_mcf.mat/MAT_0060
fsl_course_data/fmri/ptt/at/at_left.feat/mc/prefiltered_func_data_mcf.mat/MAT_0041
fsl_course_data/fmri/ptt/at/at_left.feat/mc/prefiltered_func_data_mcf.mat/MAT_0036
fsl_course_data/fmri/ptt/at/at_left.feat/mc/prefiltered_func_data_mcf.mat/MAT_0004
fsl_course_data/fmri/ptt/at/at_left.feat/mc/prefiltered_func_data_mcf.mat/MAT_0073
fsl_course_data/fmri/ptt/at/at_left.feat/mc/prefiltered_func_data_mcf.mat/MAT_0109
fsl_course_data/fmri/ptt/at/at_left.feat/mc/prefiltered_func_data_mcf.mat/MAT_0079
fsl_course_data/fmri/ptt/at/at_left.feat/mc/prefiltered_func_data_mcf.mat/MAT_0097
fsl_course_data/fmri/ptt/at/at_left.feat/mc/prefiltered_func_data_mcf.mat/MAT_0103
fsl_course_data/fmri/ptt/at/at_left.feat/mc/prefiltered_func_data_mcf.mat/MAT_0107
fsl_course_data/fmri/ptt/at/at_left.feat/mc/prefiltered_func_data_mcf.mat/MAT_0093
fsl_course_data/fmri/ptt/at/at_left.feat/mc/prefiltered_func_data_mcf.mat/MAT_0099
fsl_course_data/fmri/ptt/at/at_left.feat/mc/prefiltered_func_data_mcf.mat/MAT_0000
fsl_course_data/fmri/ptt/at/at_left.feat/mc/prefiltered_func_data_mcf.mat/MAT_0077
fsl_course_data/fmri/ptt/at/at_left.feat/mc/prefiltered_func_data_mcf.mat/MAT_0038
fsl_course_data/fmri/ptt/at/at_left.feat/mc/prefiltered_func_data_mcf.mat/MAT_0045
fsl_course_data/fmri/ptt/at/at_left.feat/mc/prefiltered_func_data_mcf.mat/MAT_0032
fsl_course_data/fmri/ptt/at/at_left.feat/mc/prefiltered_func_data_mcf.mat/MAT_0013
fsl_course_data/fmri/ptt/at/at_left.feat/mc/prefiltered_func_data_mcf.mat/MAT_0064
fsl_course_data/fmri/ptt/at/at_left.feat/mc/prefiltered_func_data_mcf.mat/MAT_0019
fsl_course_data/fmri/ptt/at/at_left.feat/mc/prefiltered_func_data_mcf.mat/MAT_0114
fsl_course_data/fmri/ptt/at/at_left.feat/mc/prefiltered_func_data_mcf.mat/MAT_0080
fsl_course_data/fmri/ptt/at/at_left.feat/mc/prefiltered_func_data_mcf.mat/MAT_0056
fsl_course_data/fmri/ptt/at/at_left.feat/mc/prefiltered_func_data_mcf.mat/MAT_0021
fsl_course_data/fmri/ptt/at/at_left.feat/mc/prefiltered_func_data_mcf.mat/MAT_0026
fsl_course_data/fmri/ptt/at/at_left.feat/mc/prefiltered_func_data_mcf.mat/MAT_0051
fsl_course_data/fmri/ptt/at/at_left.feat/mc/prefiltered_func_data_mcf.mat/MAT_0121
fsl_course_data/fmri/ptt/at/at_left.feat/mc/prefiltered_func_data_mcf.mat/MAT_0119
fsl_course_data/fmri/ptt/at/at_left.feat/mc/prefiltered_func_data_mcf.mat/MAT_0063
fsl_course_data/fmri/ptt/at/at_left.feat/mc/prefiltered_func_data_mcf.mat/MAT_0014
fsl_course_data/fmri/ptt/at/at_left.feat/mc/prefiltered_func_data_mcf.mat/MAT_0087
fsl_course_data/fmri/ptt/at/at_left.feat/mc/prefiltered_func_data_mcf.mat/MAT_0113
fsl_course_data/fmri/ptt/at/at_left.feat/mc/prefiltered_func_data_mcf.mat/MAT_0069
fsl_course_data/fmri/ptt/at/at_left.feat/mc/prefiltered_func_data_mcf.mat/MAT_0048
fsl_course_data/fmri/ptt/at/at_left.feat/mc/prefiltered_func_data_mcf.mat/MAT_0035
fsl_course_data/fmri/ptt/at/at_left.feat/mc/prefiltered_func_data_mcf.mat/MAT_0042
fsl_course_data/fmri/ptt/at/at_left.feat/mc/prefiltered_func_data_mcf.mat/MAT_0094
fsl_course_data/fmri/ptt/at/at_left.feat/mc/prefiltered_func_data_mcf.mat/MAT_0100
fsl_course_data/fmri/ptt/at/at_left.feat/mc/prefiltered_func_data_mcf.mat/MAT_0070
fsl_course_data/fmri/ptt/at/at_left.feat/mc/prefiltered_func_data_mcf.mat/MAT_0007
fsl_course_data/fmri/ptt/at/at_left.feat/mc/disp.png
fsl_course_data/fmri/ptt/at/at_left.feat/mc/prefiltered_func_data_mcf_rel.rms
fsl_course_data/fmri/ptt/at/at_left.feat/thresh_zfstat1.nii.gz
fsl_course_data/fmri/ptt/at/at_left.feat/lmax_zstat5.txt
fsl_course_data/fmri/ptt/at/at_left.feat/cluster_zstat1.html
fsl_course_data/fmri/ptt/at/at_left.feat/mask.nii.gz
fsl_course_data/fmri/ptt/at/at_left.feat/rendered_thresh_zstat5.nii.gz
fsl_course_data/fmri/ptt/at/at_left.feat/rendered_thresh_zfstat1.png
fsl_course_data/fmri/ptt/at/at_left.feat/cluster_zstat5.html
fsl_course_data/fmri/ptt/at/at_left.feat/cluster_zstat3_std.txt
fsl_course_data/fmri/ptt/at/at_left.feat/lmax_zstat1.txt
fsl_course_data/fmri/ptt/at/at_left.feat/design.frf
fsl_course_data/fmri/ptt/at/at_left.feat/lmax_zstat1_std.txt
fsl_course_data/fmri/ptt/at/at_left.feat/cluster_mask_zstat4.nii.gz
fsl_course_data/fmri/ptt/at/at_left.feat/design.trg
fsl_course_data/fmri/ptt/at/at_left.feat/lmax_zstat5_std.txt
fsl_course_data/fmri/ptt/at/at_left.feat/design_cov.png
fsl_course_data/fmri/ptt/at/at_left.feat/thresh_zstat5.nii.gz
fsl_course_data/fmri/ptt/at/at_left.feat/cluster_zstat4_std.html
fsl_course_data/fmri/ptt/at/at_left.feat/thresh_zfstat1.vol
fsl_course_data/fmri/ptt/at/at_left.feat/design.png
fsl_course_data/fmri/ptt/at/at_left.feat/lmax_zfstat1_std.txt
fsl_course_data/fmri/ptt/at/at_left.feat/cluster_zstat4.txt
fsl_course_data/fmri/ptt/at/at_left.feat/logs/
fsl_course_data/fmri/ptt/at/at_left.feat/logs/feat4_post.o684739
fsl_course_data/fmri/ptt/at/at_left.feat/logs/feat4_post.e684741
fsl_course_data/fmri/ptt/at/at_left.feat/logs/feat5_reg
fsl_course_data/fmri/ptt/at/at_left.feat/logs/feat5_stop.o684742
fsl_course_data/fmri/ptt/at/at_left.feat/logs/feat4_post
fsl_course_data/fmri/ptt/at/at_left.feat/logs/feat3_film
fsl_course_data/fmri/ptt/at/at_left.feat/logs/feat3_film.e684738
fsl_course_data/fmri/ptt/at/at_left.feat/logs/feat1
fsl_course_data/fmri/ptt/at/at_left.feat/logs/feat5_reg.e684740
fsl_course_data/fmri/ptt/at/at_left.feat/logs/feat2_pre.e684737
fsl_course_data/fmri/ptt/at/at_left.feat/logs/feat2_pre
fsl_course_data/fmri/ptt/at/at_left.feat/logs/feat5_stop.e684742
fsl_course_data/fmri/ptt/at/at_left.feat/logs/feat9
fsl_course_data/fmri/ptt/at/at_left.feat/logs/feat3_film.o684738
fsl_course_data/fmri/ptt/at/at_left.feat/logs/feat5_reg.o684740
fsl_course_data/fmri/ptt/at/at_left.feat/logs/feat2_pre.o684737
fsl_course_data/fmri/ptt/at/at_left.feat/logs/feat4_post.e684739
fsl_course_data/fmri/ptt/at/at_left.feat/logs/feat4_post.o684741
fsl_course_data/fmri/ptt/at/at_left.feat/logs/feat0
fsl_course_data/fmri/ptt/at/at_left.feat/report_stats.html
fsl_course_data/fmri/ptt/at/at_left.feat/reg_standard/
fsl_course_data/fmri/ptt/at/at_left.feat/reg_standard/mean_func.nii.gz
fsl_course_data/fmri/ptt/at/at_left.feat/reg_standard/mask.nii.gz
fsl_course_data/fmri/ptt/at/at_left.feat/reg_standard/reg/
fsl_course_data/fmri/ptt/at/at_left.feat/reg_standard/reg/highres.nii.gz
fsl_course_data/fmri/ptt/at/at_left.feat/reg_standard/stats/
fsl_course_data/fmri/ptt/at/at_left.feat/reg_standard/stats/cope1.nii.gz
fsl_course_data/fmri/ptt/at/at_left.feat/reg_standard/stats/cope3.nii.gz
fsl_course_data/fmri/ptt/at/at_left.feat/reg_standard/stats/varcope2.nii.gz
fsl_course_data/fmri/ptt/at/at_left.feat/reg_standard/stats/cope5.nii.gz
fsl_course_data/fmri/ptt/at/at_left.feat/reg_standard/stats/varcope4.nii.gz
fsl_course_data/fmri/ptt/at/at_left.feat/reg_standard/stats/varcope5.nii.gz
fsl_course_data/fmri/ptt/at/at_left.feat/reg_standard/stats/cope4.nii.gz
fsl_course_data/fmri/ptt/at/at_left.feat/reg_standard/stats/varcope1.nii.gz
fsl_course_data/fmri/ptt/at/at_left.feat/reg_standard/stats/varcope3.nii.gz
fsl_course_data/fmri/ptt/at/at_left.feat/reg_standard/stats/cope2.nii.gz
fsl_course_data/fmri/ptt/at/at_left.feat/reg_standard/example_func.nii.gz
fsl_course_data/fmri/ptt/at/at_left.feat/cluster_zfstat1.txt
fsl_course_data/fmri/ptt/at/at_left.feat/cluster_zstat3.html
fsl_course_data/fmri/ptt/at/at_left.feat/cluster_zstat3.txt
fsl_course_data/fmri/ptt/at/at_left.feat/rendered_thresh_zstat4.nii.gz
fsl_course_data/fmri/ptt/at/at_left.feat/cluster_zstat3_std.html
fsl_course_data/fmri/ptt/at/at_left.feat/design.ppm
fsl_course_data/fmri/ptt/at/at_left.feat/cluster_zstat5_std.html
fsl_course_data/fmri/ptt/at/at_left.feat/cluster_zstat2.html
fsl_course_data/fmri/ptt/at/at_left.feat/design_cov.ppm
fsl_course_data/fmri/ptt/at/at_left.feat/report_reg.html
fsl_course_data/fmri/ptt/at/at_left.feat/thresh_zstat1.nii.gz
fsl_course_data/fmri/ptt/at/at_left.feat/rendered_thresh_zstat2.nii.gz
fsl_course_data/fmri/ptt/at/at_left.feat/cluster_mask_zfstat1.nii.gz
fsl_course_data/fmri/ptt/at/at_left.feat/design.fsf
fsl_course_data/fmri/ptt/at/at_left.feat/cluster_zstat2_std.html
fsl_course_data/fmri/ptt/at/at_left.feat/cluster_zstat2_std.txt
fsl_course_data/fmri/ptt/at/at_left.feat/report_poststats.html
fsl_course_data/fmri/ptt/at/at_left.feat/custom_timing_files/
fsl_course_data/fmri/ptt/at/at_left.feat/custom_timing_files/ev3.txt
fsl_course_data/fmri/ptt/at/at_left.feat/custom_timing_files/ev2.txt
fsl_course_data/fmri/ptt/at/at_left.feat/custom_timing_files/ev1.txt
fsl_course_data/fmri/ptt/at/at_left.feat/cluster_zstat2.txt
fsl_course_data/fmri/ptt/at/at_left.feat/report.html
fsl_course_data/fmri/ptt/at/at_left.feat/cluster_zstat5.txt
fsl_course_data/fmri/ptt/at/at_left.feat/design.mat
fsl_course_data/fmri/ptt/at/at_left.feat/lmax_zstat4_std.txt
fsl_course_data/fmri/ptt/at/at_left.feat/cluster_mask_zstat2.nii.gz
fsl_course_data/fmri/ptt/at/at_left.feat/thresh_zstat1.vol
fsl_course_data/fmri/ptt/at/at_left.feat/rendered_thresh_zstat1.png
fsl_course_data/fmri/ptt/at/at_left.feat/thresh_zstat3.nii.gz
BET basics#
BET performs brain extraction by removing non-brain tissue from structural MRI images:
bet <input> <output> [options]
Input: Structural image (e.g., structural.nii.gz)
Output: Brain-extracted image
Options: Additional outputs like binary mask or skull surface (optional)
For detailed instructions, see the complete FSL tutorial and the help page.
!bet
Usage: bet <input> <output> [options]
Main bet2 options:
-o generate brain surface outline overlaid onto original image
-m generate binary brain mask
-s generate approximate skull image
-n don't generate segmented brain image output
-f <f> fractional intensity threshold (0->1); default=0.5; smaller values give larger brain outline estimates
-g <g> vertical gradient in fractional intensity threshold (-1->1); default=0; positive values give larger brain outline at bottom, smaller at top
-r <r> head radius (mm not voxels); initial surface sphere is set to half of this
-c <x y z> centre-of-gravity (voxels not mm) of initial mesh surface.
-t apply thresholding to segmented brain image and mask
-e generates brain surface as mesh in .vtk format
Variations on default bet2 functionality (mutually exclusive options):
(default) just run bet2
-R robust brain centre estimation (iterates BET several times)
-S eye & optic nerve cleanup (can be useful in SIENA - disables -o option)
-B bias field & neck cleanup (can be useful in SIENA)
-Z improve BET if FOV is very small in Z (by temporarily padding end slices)
-F apply to 4D FMRI data (uses -f 0.3 and dilates brain mask slightly)
-A run bet2 and then betsurf to get additional skull and scalp surfaces (includes registrations)
-A2 <T2> as with -A, when also feeding in non-brain-extracted T2 (includes registrations)
Miscellaneous options:
-v verbose (switch on diagnostic messages)
-h display this help, then exits
-d debug (don't delete temporary intermediate images)
# Create directory (won't error if it exists)
! mkdir -p ./output
! bet ./fsl_course_data/intro/structural.nii.gz ./output/structural_brain -m -s
! ls output -lrt
total 3620
-rw-r--r-- 1 jovyan users 3516911 Oct 30 01:04 structural_brain.nii.gz
-rw-r--r-- 1 jovyan users 73650 Oct 30 01:04 structural_brain_mask.nii.gz
-rw-r--r-- 1 jovyan users 114340 Oct 30 01:04 structural_brain_skull.nii.gz
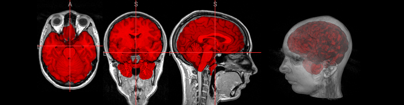
Visualization with ipyniivue#
from ipyniivue import NiiVue
nv = NiiVue()
nv.load_volumes( [{"path": "./fsl_course_data/intro/structural.nii.gz", "colormap": "gray"},
{"path": "./output/structural_brain.nii.gz", "colormap": "red" },
{"path": "./output/structural_brain_skull.nii.gz", "colormap": "blue" }])
nv
from IPython.display import Image
Image(url='https://raw.githubusercontent.com/NeuroDesk/example-notebooks/refs/heads/main/books/images/fsl_course_bet05.png')

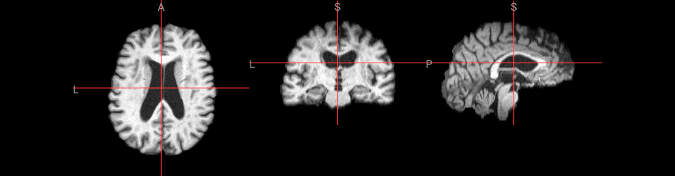
Varying the fractional intensity threshold parameter (-f)#
The fractional intensity threshold is BET’s key parameter for distinguishing brain tissue from non-brain tissue. This interactive demonstration shows how different -f values affect brain extraction results:
Lower values (e.g., -f 0.2): More inclusive extraction - captures more tissue but may include non-brain areas
Higher values (e.g., -f 0.8): More conservative extraction - tighter brain boundary but may exclude brain tissue
Default (-f 0.5): Balanced approach suitable for most cases
The folowing visualization shows three different threshold results overlaid on the original image, demonstrating how this single parameter dramatically changes the extraction outcome.
! bet ./fsl_course_data/intro/structural.nii.gz ./output/structural_brain_f02 -m -s -f 0.2
! bet ./fsl_course_data/intro/structural.nii.gz ./output/structural_brain_f08 -m -s -f 0.8
nv = NiiVue()
nv.load_volumes( [{"path": "./output/structural_brain_f02.nii.gz", "colormap": "gray"},
{"path": "./output/structural_brain.nii.gz", "colormap": "green"},
{"path": "./output/structural_brain_f08.nii.gz", "colormap": "red"}])
nv
Image(url='https://raw.githubusercontent.com/NeuroDesk/example-notebooks/refs/heads/main/books/images/fsl_course_bet_f.png')

Troubleshooting Brain Extraction#
Cerebellum Underestimation: Using the gradient threshold option (-g)#
Problem: Lower brain regions (cerebellum) get cut off
! bet ./fsl_course_data/intro/sub3m0.nii.gz ./output/sub3m0_brain
nv = NiiVue()
nv.load_volumes( [{"path": "./output/sub3m0_brain.nii.gz"}])
nv
Image(url='https://raw.githubusercontent.com/NeuroDesk/example-notebooks/refs/heads/main/books/images/fsl_course_bet_sub3m0.png')

Solution: Use gradient threshold (-g) to vary the intensity threshold linearly by slice (getting smaller at the bottom and bigger at the top, or vice versa)
Example: Try -f 0.3 -g 0.2 for balanced results
! bet ./fsl_course_data/intro/sub3m0.nii.gz ./output/sub3m0_f03g02 -f 0.3 -g 0.2
nv = NiiVue()
nv.load_volumes([{"path": "./output/sub3m0_f03g02.nii.gz", "colormap": "gray"},
{"path": "./output/sub3m0_brain.nii.gz", "colormap": "green"}])
nv
Image(url='https://raw.githubusercontent.com/NeuroDesk/example-notebooks/refs/heads/main/books/images/fsl_course_bet_sub3m0_g.png')

Dealing with large FOV images#
Problem: Large amount of neck/extra tissue confuses brain detection (initial brain surface is initialised too low):
! bet ./fsl_course_data/intro/bighead.nii.gz ./output/bighead_brain
nv = NiiVue()
nv.load_volumes( [{"path": "./fsl_course_data/intro/bighead.nii.gz", "colormap": "gray"},
{"path": "./output/bighead_brain.nii.gz", "colormap": "red"}])
nv
Image(url='https://raw.githubusercontent.com/NeuroDesk/example-notebooks/refs/heads/main/books/images/fsl_course_bet_bighead.png')

Solutions:
Crop the image first to remove the neck:
robustfov -i input -r output_crop(recommended)Leave large FOV, but set brain centre-of-gravity:
-c <x y z> option(manual coordinate specification)Robust brain centre estimation:
-R option(iterates BET several times)
Different images may need different approaches - having multiple strategies available is essential for handling problematic cases.
Recommended Practice: Combine cropping with -R option for most robust results across different image types:
# crop the image
!robustfov -i ./fsl_course_data/intro/bighead.nii.gz -r ./output/bighead_crop
Final FOV is:
0.000000 160.000000 0.000000 224.000000 61.000000 170.000000
nv = NiiVue()
nv.load_volumes( [{"path": "./fsl_course_data/intro/bighead.nii.gz", "colormap": "gray", "opacity": 1.0},
{"path": "./output/bighead_crop.nii.gz", "colormap": "blue", "opacity": 1.0}])
nv
Image(url='https://raw.githubusercontent.com/NeuroDesk/example-notebooks/refs/heads/main/books/images/fsl_course_bet_bighead_crop.png')

! bet ./output/bighead_crop.nii.gz ./output/bighead_crop_brain -R
nv = NiiVue()
nv.load_volumes( [{"path": "./output/bighead_brain.nii.gz", "colormap": "gray"},
{"path": "./output/bighead_crop_brain.nii.gz", "colormap": "red"}])
nv
Image(url='https://raw.githubusercontent.com/NeuroDesk/example-notebooks/refs/heads/main/books/images/fsl_course_bet_bighead_crop_brain.png')

Dependencies in Jupyter/Python#
Using the package watermark to document system environment and software versions used in this notebook
%load_ext watermark
%watermark
%watermark --iversions
Last updated: 2025-10-30T01:05:11.538945+00:00
Python implementation: CPython
Python version : 3.11.6
IPython version : 8.16.1
Compiler : GCC 12.3.0
OS : Linux
Release : 5.4.0-204-generic
Machine : x86_64
Processor : x86_64
CPU cores : 32
Architecture: 64bit
IPython : 8.16.1
ipyniivue: 2.3.2